Оценка локализации и протяженности опухоли
Общие принципы лучевой диагностики
Оценка локализации опухоли включает определение анатомического отдела прямой кишки, в котором расположено образование.
Измеряется расстояние до дистального края опухоли (рис. 1):
от анального края,
от уровня m. puborectalis (зубчатой линии / аноректального угла), соответствующего верхней границе хирургического анального канала.


Опухоли, расположенные выше 15 см от анального края, рассматриваются как рак ободочной кишки, при локализации в 15-17 см — как рак ректосигмоидного отдела [KlinicheskieRekomendaciiOdobrennye2023?].
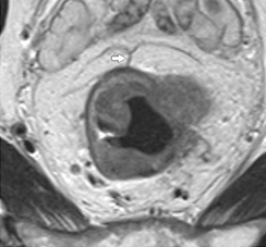
Протяженность опухоли и ее распространение по окружности описывается в условных «часах циферблата». На МРТ опухоль прямой кишки проявляется локальным утолщением стенки кишки с закругленными приподнятыми краями (рис. 2).



Определение локализации опухоли относительно переходной складки брюшины (полностью ниже/на уровне/полностью выше) выполняют в сагиттальных и/или аксиальных плоскостях (рис. 3).

Специализированная система стадирования для низких опухолей прямой кишки (≤5 см от анального края) учитывает анатомические особенности этой зоны и повышает точность планирования оперативного лечения [1, с. 26, 28]. Данная система помогает определить показания к межсфинктерной резекции или брюшнопромежностной экстерпации. МРТ-оценку этой зоны оптимально выполнять в корональной проекции по длинной оси анального канала.
МРТ
Сагиттальная проекция является основной для оценки протяженности опухоли, ее положения относительно зубчатой линии (уровня верхнего края m. puborectalis) и переходной складки брюшины.
МРТ обеспечивает анатомически точную оценку локализации и распространенности опухоли благодаря высокому мягкотканному контрасту и возможности мультипланарной реконструкции.
Особенности при низком расположении
Высокоразрешающие Т2-ВИ срезы в корональной плоскости (по длинной оси анального канала) детально визуализируют распространенность опухолевого процесса и обеспечивают информацией, необходимой для выбора хирургического подхода.
Классификация для стадирования низкорасположенных опухолей (табл. 2) должна дополнительно применяться при описании распространенности опухолевого процесса. Данная классификация критически важна для определения показаний к межсфинктерной резекции или БПЭ, поскольку учитывает вовлечение:
сфинктера (внутреннего, наружного)
межсфинктерного пространства
- levator ani
расстояние до кожи промежности и m. puborectalis.
Таблица 2. МРТ классификация низкого рака ПК [26, 28]
Стадия | Описание |
---|---|
Стадия 1 (mrLR1) | опухоль ограничена стенкой кишки и не распространяется на анальный сфинктерный комплекс |
Стадия 2 (mrLR2) | опухоль распространяется на внутренний сфинктер анального канала, но не инфильтрирует межсфинктерное пространство |
Стадия 3 (mrLR3) | опухоль распространяется в межсфинктерное пространство или находится на расстоянии не менее 1 мм от мышцы, поднимающей задний проход |
Стадия 4 (mrLR4) | опухоль вовлекает наружный сфинктер анального канала и инфильтрирует или распространяется за пределы мышцы, поднимающей задний проход, с прорастанием или без прорастания соседних структур |
КТ
КТ-оценка края опухоли базируется на анализе протяженности зоны патологического контрастирования. Диагностическая эффективность КТ значительно варьирует в зависимости от локализации опухоли. Для опухолей средней и верхней трети прямой кишки (5-15 см от анального края) точность составляет 76% чувствительности и 96% специфичности. Для низких опухолей (0-5 см) показатели снижаются до 66% чувствительности и 82% специфичности из-за истончения мезоректальной клетчатки на уровне тазового дна [2].
При ограниченной доступности МРТ компьютерная томография остается альтернативным методом оценки, особенно эффективным для опухолей верхних отделов прямой кишки.